随着科技的发展,牙种植技术的不断提升,种植牙渐渐成为了很多牙缺失顾客首选。但因其技术较新,很多中老年顾客对其本身和过程都不是很了解,今天就和大家来分享下种植牙是怎么种植的,想了解种植牙是怎么种植的,需要先来了解下种植牙的原理,种植牙是在牙槽骨内植入种植牙体(仿真牙根),然后在其上部安装基台及烤瓷牙冠。无论植入一颗或几颗牙齿,甚至上下腭的全部牙齿,植牙过程基本上都是一样的。
种植前准备:
(1)种植前顾客沟通,了解顾客的期待和愿望。
(2)排除牙齿病理状态、感染。
(3)对没有治疗及保存价值的牙齿,根据具体情况拟定拔除时间。
(4)调改或制作临时修复体,使它具有恰当的垂直距离、牙弓形态及颌平面,能完成一定的功能和期望的美学要求。
下面来看下种植牙是怎么种植的:
第一:口腔检查
a.对顾客牙周进行常规检查及治疗,确定没保留价值的牙齿予以拔除,特别对相邻牙进行深度检查及治疗。
b.在种植牙前,医生会做一个种植前诊疗,包括:软组织成形术、牙槽成形术、牙槽骨增量、上颌窦提升等无法与种植体植入同期进行的手术。
第二:制作种植牙导板
一种非全牙缺失的种植牙手术导板的制作方法,分为CT数据采集,骨骼三维模型重建,病人骨骼条件设计种植方案,根据种植位置,设计确定种植窝的模拟圆柱等10几种方案
第三:备制种植窝
按预先设计制作模板,根据牙槽骨的骨量选择适宜长度的种植体及相应的系列钻,制定种植窝
第四:备制螺纹
用丝锥制备种植窝骨壁上的螺纹,使植入种植体与牙槽骨接触更密切,更稳固。
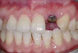
第五:植入种植体
将种植体缓缓植入已备好的种植窝内并小心地用特制工具加力旋紧,使种植体顶缘与骨面相平,牙骨髓更快速与种植体愈合
第六:缝合创口
第七:带上牙冠
待种植钉与牙槽骨紧密愈合后,安装牙冠后就完成了整个种植牙手术的全过程。
以上就是种植牙的全部过程,所以种植牙看起来是个小的牙外科手术,但对于医生的整体技术及经验要求非常之高,冯医师建议,种植牙一定要选择资质高的牙科专家及有控菌处理的正规牙科进行。不要因贪图一时便宜而导致引发大问题。
